从偏瘫到行走:急诊脑动脉取栓重启生命律动
从偏瘫到行走:急诊脑动脉取栓重启生命律动
近日,我院神经医学中心——脑血管介入团队成功开展急诊颈内动脉取栓联合球囊扩张及支架植入术。面对颈动脉完全闭塞这一高致死率急症,团队通过"取栓+成形+支架"一体化治疗方案,实现了血管即刻再通与长期通畅的双重保障,我院急性大血管闭塞救治正式跨入"复合干预"新阶段。
病情回顾:时间就是大脑
患者,男,60岁
主 诉:突发左侧肢体无力伴口角歪斜2日。
既往高血压病史3年,2025年9月外院诊断为“颈内动脉狭窄脑梗死”。
入院查体:左侧肢体肌力4+级,伴构音障碍、饮水呛咳。
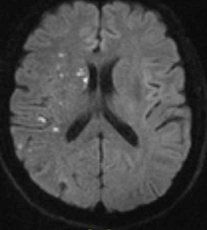
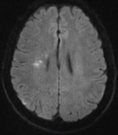
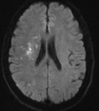
辅助检查:头颅MRI+MRA提示急性多发梗塞灶,右侧颈内动脉未见显影。

MRA示右侧颈内动脉未见显影



右侧大脑半球、基底节区多发梗塞灶
(急性期)
患者左侧肢体肌力迅速跌落至2级,并呈进行性加重趋势,提示缺血半暗带正在加速坏死。结合MRA明确诊断颈动脉闭塞。对于此类大血管闭塞,单纯静脉溶栓血管再通率极低(<10%)。在迅速完成禁忌症筛查并排除出血转化风险后,急诊血管内治疗被确立为首选治疗方案。
手术亮点:双管齐下
神经介入团队面临双重挑战:
(1) 颈动脉次全闭塞,导丝通过难度高;
(2) 远端大脑中动脉、大脑前动脉血流灌注延迟,需尽快恢复血流。


DSA示右侧颈内动脉次全闭塞

术中采用"先清淤、后修路、再架桥"的阶梯式策略:
(1) 精准通路建立,分阶段“清淤”, 球囊辅助通过+机械抽吸,成功捕获颈动脉两条暗红色血栓(4cm及1cm)。


暗红色血栓(4cm及1cm)
(2) 阶梯式血管成形:"球囊序贯扩张"修复通路。复查造影示:前向血流明显改善,但仍有狭窄。


球囊序贯扩张
(3) 精准支架植入:为血管架起"长期保护桥",复查造影示:支架贴壁良好,管腔通畅,无残余狭窄。

从穿刺到血管完全再通,团队以最少的器械交换次数完成了这一急救操作,最大程度降低了手术相关并发症风险。
康复奇迹:立竿见影
术后第2日患者意识完全清醒,左侧肢体可抬离床面;48小时可独立坐立,至2026.1.30日患者步行出院。从瘫痪在床到独立行走,没有遗留神经功能缺损,这不仅是一次血管的成功开通,更是生活质量的完全重启。

医生提醒
颈动脉闭塞性脑梗死致死致残率极高,但只要抓住机会,仍有完全康复可能。记住"FAST"识别法:Face(面部下垂)、Arm(手臂无力)、Speech(言语不清)、Time(立即拨打急救电话)
卒中救治,时间就是大脑。不要等待,不要观察,不要犹豫,立即就医!

神经医学中心简介
甘肃省武威肿瘤医院神经医学中心是集临床医疗、教学、科研及人才培养为一体的学科,业务涵盖神经内科、神经外科、神经介入、神经重症、神经康复等多个学科领域,患者可以在中心完成从疾病诊断、治疗、康复、预防、心理关怀、健康教育到长期随访等“一站式”全程诊疗服务。科室人员配置合理、技术力量雄厚,医疗经验丰富,现有兰州大学第一附属医院神经外科常驻专家1名,副主任医师2名、主治医师3名、住院医师3名,其中硕士研究生4人,护理人员11名。
【神经医学中心诊疗范围】
1.神经内科专业:脑梗死、脑出血等脑血管病、周围神经疾病、脊髓病变、中枢神经系统脱髓鞘病变、运动障碍病变(如帕金森病)、神经肌肉接头疾病(重症肌无力等)以及头痛、眩晕、癫痫、睡眠障碍等疾病的诊治。
2.神经外科专业:脑肿瘤、脑出血、脑血管畸形、脑动脉瘤、脑外伤等常见疾病的外科诊疗救治;包括颅脑肿瘤的显微外科手术、经鼻蝶垂体瘤手术、重型颅脑损伤手术、三叉神经、面肌痉挛微血管减压术、先天性颅脑畸形的手术、颅内肿瘤神经导航下穿刺活检、颈动脉内膜剥脱术、帕金森病脑深部电刺激术(DBS)、癫痫立体定向脑电图(SEEG)技术、脑积水脑室腹腔分流术等;
3.神经介入专业:脑卒中动、静脉溶栓;脑血管造影(经桡、经股入路)、脊髓血管造影;颅内动脉取栓术;颅内动脉狭窄血管成形、支架置入术;颈动脉支架植入手术;椎动脉支架植入手术;脑动脉瘤介入栓塞术等。
我中心长期与北京天坛医院、复旦大学附属华山医院、四川大学华西医院、兰大一院、兰大二院等国内知名专科院所长期协作,组建医联体联盟;并长期聘请省内外知名专家来院查房、手术指导,以便更好的服务于广大患者。
就诊地址:
甘肃省武威肿瘤医院中心院区门诊508室
甘肃省武威肿瘤医院中心院区住院部十楼
