视物模糊暗藏凶险——我院成功开展颅内巨大动脉瘤介入治疗
视物模糊暗藏凶险——我院成功开展颅内巨大动脉瘤介入治疗
颅内动脉瘤,常被喻为颅内的“不定时炸弹”,一旦破裂,生死系于顷刻。近期,我院神经医学中心介入团队成功完成一例复杂动脉瘤介入手术。此例手术的成功开展,意味着我院在的微创介入治疗方面迈上了新台阶。
病情聚焦:视物模糊,“炸弹“预警
患者,女性,46岁。
主诉:左眼视物重影2周,加重1周。
既往史:有高血压病史8月。
入院查体:左侧眼球运动向左受限,右侧眼球运动正常。
外院头颅核磁示:左侧海绵窦区异常信号,考虑颈内动脉海绵窦段巨大动脉瘤(20mm*20mm),考虑动眼神经受压。】

影像评估:策略制定,治疗“硬骨头”
完善DSA提示:左侧颈内动脉海绵窦段可见一巨型动脉瘤,大小约4.5cm*4cm*5cm。


DSA见一巨大动脉瘤,瘤体内造影剂滞留,载瘤动脉前向血流通畅
瘤体位置血管走行迂曲,瘤颈冗长

海绵窦段巨大动脉瘤因解剖位置深在、瘤颈复杂、走行迂曲、毗邻重要神经等而成为介入治疗的"硬骨头",其单纯栓塞复发率高,单纯密网支架占位效应解除缓慢。
本患者经评估后采用“密网支架植入联合弹簧圈栓塞”复合技术,结合密网支架的血流导向作用与弹簧圈的即刻填塞效应来实现动脉瘤的可靠闭塞与载瘤动脉的长期重建。
手术直击:双管齐下,微创“拆弹”
1. 通路建立,精准到位


长鞘到位,微导丝超选通过瘤口,微导管、中间管依次通过瘤颈
2. 植入密网,重塑通路

密网支架释放过程
3. 弹簧圈疏松填塞,巩固成果

4. 术后造影

DSA示动脉瘤基本不显影,载瘤动脉血流通畅
终见成效:功能保护,解剖治愈
患者术后恢复良好,神经系统查体无阳性体征,左眼视物模糊症状逐步改善。


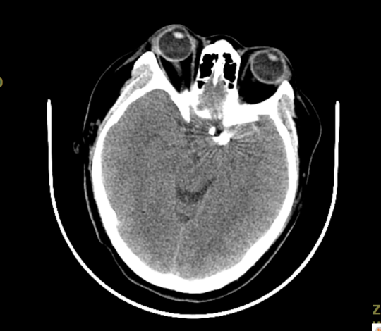
术后复查CT未见出血、梗死,术区见形态规则的弹簧圈影

专家提醒:症状信号,注重预防
颅内动脉瘤常见于40至60岁人群。类似本例的巨大型动脉瘤,容易压迫周围结构(出现下述信号及时就医):
(1)眼部症状:如单侧眼睑下垂、瞳孔散大、复视或视野缺损,是动脉瘤压迫动眼神经、滑车神经、外展神经或视神经的典型表现。
(2)局部头痛:眼眶周围、前额部的持续性胀痛。
(3)面部感觉异常:面部麻木或疼痛等。

本例的“复合技术”,充分发挥了两种方法的优势,为处理颅内大型动脉瘤以及一些治疗困难的复发动脉瘤等,提供了更优、更彻底的治疗方案,以更小的创伤为患者赢得了更佳预后。我院神经介入团队将继续深耕此领域,以更精湛的技术守护脑血管健康。
神经医学中心简介
甘肃省武威肿瘤医院神经医学中心是集临床医疗、教学、科研及人才培养为一体的学科,业务涵盖神经内科、神经外科、神经介入、神经重症、神经康复等多个学科领域,患者可以在中心完成从疾病诊断、治疗、康复、预防、心理关怀、健康教育到长期随访等“一站式”全程诊疗服务。科室人员配置合理、技术力量雄厚,医疗经验丰富,现有兰州大学第一附属医院神经外科常驻专家1名,副主任医师2名、主治医师3名、住院医师3名,其中硕士研究生4人,护理人员11名。
【神经医学中心诊疗范围】
1.神经内科专业:脑梗死、脑出血等脑血管病、周围神经疾病、脊髓病变、中枢神经系统脱髓鞘病变、运动障碍病变(如帕金森病)、神经肌肉接头疾病(重症肌无力等)以及头痛、眩晕、癫痫、睡眠障碍等疾病的诊治。
2.神经外科专业:脑肿瘤、脑出血、脑血管畸形、脑动脉瘤、脑外伤等常见疾病的外科诊疗救治;包括颅脑肿瘤的显微外科手术、经鼻蝶垂体瘤手术、重型颅脑损伤手术、三叉神经、面肌痉挛微血管减压术、先天性颅脑畸形的手术、颅内肿瘤神经导航下穿刺活检、颈动脉内膜剥脱术、帕金森病脑深部电刺激术(DBS)、癫痫立体定向脑电图(SEEG)技术、脑积水脑室腹腔分流术等;
3.神经介入专业:脑卒中动、静脉溶栓;脑血管造影(经桡、经股入路)、脊髓血管造影;颅内动脉取栓术;颅内动脉狭窄血管成形、支架置入术;颈动脉支架植入手术;椎动脉支架植入手术;脑动脉瘤介入栓塞术等。
我中心长期与北京天坛医院、复旦大学附属华山医院、四川大学华西医院、兰大一院、兰大二院等国内知名专科院所长期协作,组建医联体联盟;并长期聘请省内外知名专家来院查房、手术指导,以便更好的服务于广大患者。
就诊地址:
甘肃省武威肿瘤医院中心院区门诊508室
甘肃省武威肿瘤医院中心院区住院部十楼
