重(碳)离子治疗肉瘤164例疗效分析总结
重(碳)离子治疗肉瘤164例疗效分析总结
摘要
总结了武威重离子中心自2018年11月至2026年3月期间,应用重(碳)离子治疗的164例肉瘤患者的临床资料。重(碳)离子治疗对各类肉瘤(包括多种罕见及难治类型)均表现出高度有效性,局部控制率极高。本组病例平均随访期内平均生存时间达(36.99±2.58)个月,其中骨肉瘤患者4年生存率达67.25%,体现了重(碳)离子在治疗各种肉瘤安全有效,对于复杂位置、手术无法切除或常规治疗失败的肉瘤中的独特价值。
一、引言:重(碳)离子治疗肉瘤的优势
肉瘤(sarcoma)是一类起源于间叶组织的罕见恶性肿瘤,涵盖骨骼、肌肉、脂肪、血管等多种类型。传统治疗以外科手术为主,辅以放化疗及靶向、免疫治疗。然而,对于位置特殊、无法手术、或对常规光子放疗不敏感的肉瘤,治疗选择有限,疗效不佳。
重(碳)离子治疗作为一种先进的放疗技术,具有独特的物理(布拉格峰)和生物学(高相对生物学效应,RBE)优势。它能将高剂量能量精准集中于肿瘤靶区,同时最大限度保护周围正常组织,对各种肉瘤均敏感,尤其适用于毗邻关键脏器、既往接受过放疗或常规放疗抵抗的病例。
二、患者基本情况
本中心在2018年11月开展首例重(碳)离子治疗,共治疗肉瘤患者164例。其中男性95例,女性69例;平均年龄(44.82±18.54)岁,最大年龄92岁,最小年龄12岁。其中骨肉瘤45例,纤维肉瘤21例,平滑肌肉瘤16例,脂肪肉瘤12例,横纹肌肉瘤11例等,其他肉瘤21例。
人口学特征:男性95例,女性69例;平均年龄(44.82±18.54)岁,最大年龄92岁,最小年龄12岁。
病理类型多样:包括骨肉瘤(45例)、纤维肉瘤(21例)、软骨肉瘤(14例)、平滑肌肉瘤(16例)以及滑膜肉瘤、横纹肌肉瘤、脂肪肉瘤等多种亚型,几乎涵盖了临床罕见的肉瘤类型。
病例特殊性:本组包含5例放疗诱发的二次肿瘤(肉瘤),以及3例心脏肉瘤。其中,心脏肉瘤的重(碳)离子治疗为世界范围内首创,得益于中心张雁山主任曾从事过心脏外科,对心脏解剖的深刻理解。

三、生存情况与疗效结论
核心结论:重(碳)离子治疗对肉瘤的局部控制率接近100%,有效率100%。
本组164例患者,在经重(碳)离子治疗后,所有可评估病灶均得到了有效控制,实现了极高的局部控制率。这为解决原发肉瘤、术后复发、残留或无法手术的难题提供了革命性的局部治疗手段。
总体及各亚型生存数据:
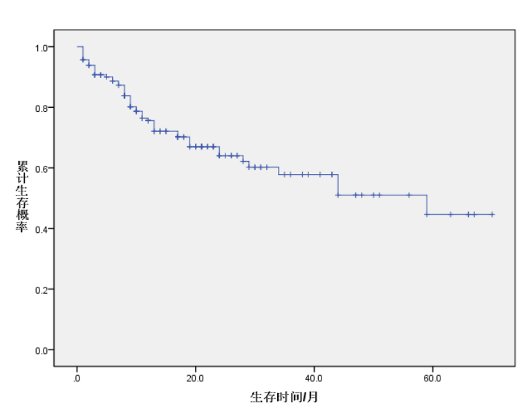
总体生存:164例患者平均生存时间(36.99±2.58)个月,1年、2年、3年、4年生存率分别为75.60%、67.00%、57.79%、51.00%。
骨肉瘤:45例患者平均生存时间(48.33±3.78)个月,4年生存率高达88.89%。
软骨肉瘤:14例患者平均生存时间(28.93±5.18)个月,3年生存率73.18%
纤维肉瘤:21例患者平均生存时间(23.20±4.38)个月,3年生存率46.02%。
平滑肌肉瘤:16例患者中位生存时间(17.00±4.55)个月,2年生存率68.57%。


治疗结束时到治疗结束后60个月生存曲线图
四、典型病例展示
病例一:白某某,女,14岁,甘肃金昌。诊断:右股骨骨肉瘤 cT2N0M0 ⅡB,KPS:70。该患儿骨肉瘤未采用手术,直接行重(碳)离子治疗,同期完成6个周期化疗,无其他治疗。重(碳)离子治疗后66个月,已达痊愈。

治疗前重离子计划,见股骨下端130mm大小骨肉瘤


目前重(碳)离子治疗后66个月,现已痊愈。
【病例提供医生:杨钰铃 科室:放疗中心一科】
病例二:患者,女,55岁。病史:右小腿脂肪肉瘤,曾于2014年11月17日和2016年3月30日接受两次广泛切除术。第二次术后于2016年5月接受辅助放疗(总剂量50.4Gy/28次,后续加量10Gy/5次)。2018年11月1日,PET-CT和MRI(图1)显示肿瘤复发,病灶位于右胫腓骨中间隙,大小约4.2×2.0 cm。临床诊断为右小腿脂肪肉瘤复发。2018年11月,患者接受重(碳)离子治疗,治疗方案为:总剂量64Gy(RBE),分16次,在28天内完成(每周一至周五,每日一次),照射野设计采用两野计划(水平野和垂直野,见图2)。
疗效:治疗后肿瘤明显缩小。治疗后60天达到部分缓解(PR),肿瘤直径从42mm缩小至22mm。治疗后120天达到完全缓解(CR),肿瘤完全消失(图4)。治疗后270天的MRI(图5)显示无复发迹象。不良反应:治疗后30天仅出现1级放射性皮炎(轻度红斑和干性脱屑,见图3),未观察到≥2级的急性毒性反应。
图1. 治疗前影像学检查

(A) PET/CT轴位图像:可见高SUV摄取灶。(B) PET/CT矢状位图像:T2WI呈高信号。(C) MRI轴位和 (D) MRI矢状位图像。
图2. 重(碳)离子治疗照射野设计

(示意图为水平野和垂直野的两野照射计划)
图3. 治疗后不良反应

(展示治疗后30天,右小腿治疗区域出现的1级放射性皮炎,表现为轻度红斑和干性脱屑。)
图4. 治疗前后影像对比

(对比治疗前、治疗后60天(PR)和120天(CR)的影像学变化。)
图5. 治疗后270天MRI随访

(展示治疗后270天的MRI图像,显示原肿瘤区域无异常信号,证实完全缓解。)
病例三:李某某,女,51岁,青海籍。主诉:确诊子宫平滑肌肉瘤8年余,胸痛、咳嗽12天。入院诊断:肺继发恶性肿瘤,子宫恶性肿瘤(平滑肌肉瘤)。患者自2015年5月因“子宫肌瘤”行子宫全切术,术后病理确诊为“子宫平滑肌肉瘤”。随后经历漫长而复杂的治疗过程,具体时间线如下:
2015年:术后辅助化疗(阿霉素+环磷酰胺)4周期。
2016-2017年:因无法耐受化疗,改为中医调理。
2017-2022年:接受盐酸安罗替尼靶向治疗,疗效评价为部分缓解(PR)。
2022年:PET-CT提示新发右肺下叶及胰腺转移灶。后续尝试恩沃利单抗、白蛋白紫杉醇联合卡度尼利等多种治疗,效果均不佳(PD)。
2022年7月:于中日友好医院行活检,确认右肺占位为子宫平滑肌肉瘤转移。基因检测显示MED12基因剪接突变。
2023年:接受卡度尼利联合安罗替尼治疗,其间出现气短、咯血,于年底停用安罗替尼。
2024年1月:患者因胸痛、气短、咳嗽加重,不能平卧,不能下地,于华西医院对症治疗后,建议患者行姑息支持治疗。为求进一步诊治,乘房车转入我院。入院后胸部CT提示右肺门及右肺占位性病变,大小约60mm×70mm。超声引导下肺穿刺活检,病理提示为“子宫平滑肌肉瘤转移”。于2024年1月行重(碳)离子治疗,治疗中患者气短缓解,可以平卧及下地活动。治疗后右肺门及右肺占位性病变消失,恢复正常生活。

截至发稿日,重(碳)离子治疗后26个月,患者右肺门及右肺占位性病变消失,体力状况良好,生活自理。
【病例提供医生: 潘鑫 科室:放疗中心一科】
病例四: 蒲某某,女,35岁。主诉:胃肉瘤术后4年余,腰背部疼痛1月余。诊断:1. 软组织恶性肿瘤(胃肿瘤术后);2. 恶性间叶源性肿瘤;3. 卵巢继发性恶性肿瘤(术后化疗后);4. 腹腔继发恶性肿瘤。体力状况:KPS评分80分,ECOG评分1分。治疗前状态:腹腔巨大复发肿瘤,开腹探查手术无法切除,伴有明显腰背疼痛,影响活动。核心治疗:重(碳)离子治疗。
诊疗经过
1. 首次发现与治疗(2020年):2020年8月11日,因上腹部胀痛、恶心、黑便就诊。胃镜显示胃窦部巨大不规则溃疡,活检病理为“(胃窦)梭形细胞肿瘤”,免疫组化支持恶性间叶源性肿瘤,增殖指数Ki-67为30%~40%。2020年10月21日接受手术治疗,术后病理确认胃恶性间叶源性肿瘤伴脉管瘤栓。基因检测为微卫星稳定型(MSS),未检出明确驱动基因变异。术后完成4周期“表柔比星+异环磷酰胺”方案辅助化疗。
2. 首次复发与治疗(2022年):2022年4月,因阴道出血复查,盆腔CT发现盆腔右侧占位(7.6×5.7 cm)。再次行手术切除,术后病理同上,免疫组化示Ki-67升高至50%。术后接受“表柔比星”与“异环磷酰胺”交替化疗,共计12周期。
3. 再次复发与转诊(2024年):2024年9月,出现腰背部疼痛。于西安交通大学第一附属医院行胸腹部CT检查,发现脾肾间隙占位性病变,大小约76×60×71 mm,考虑肿瘤转移,脾脏受累。2024年10月15日行开腹手术探查,因肿瘤与周围组织严重粘连,无法切除。术后15天,为求进一步治疗转入我院重离子中心。
4. 重(碳)离子治疗与疗效 行重(碳)离子治疗局部根治性治疗。治疗前(2024年11月5日):CT显示腹腔内巨大肿瘤,肿瘤体积为1384.98 cm³。患者因疼痛无法弯腰,行走困难。治疗5次后(2024年11月21日):复查CT显示肿瘤明显缩小,肿瘤净体积缩小至558.89 cm³,体积缩小率为60%。临床症状改善:仅治疗2次后,患者腰背部疼痛即得到显著缓解,可正常行走。治疗结束时影像显示,与治疗前相比,肿瘤已被灭活,体积大幅缩小,并处于吸收消散过程中。

上图(上排):重(碳)离子治疗前(2024年11月5日)CT图像,红圈内示巨大腹腔复发肿瘤。上图(下排):重(碳)离子治疗5次后(2024年11月21日)CT图像,示肿瘤明显缩小。

转至武威重离子中心接受重(碳)离子治疗,2024年11月5日,重(碳)离子治疗计划,治疗前肿瘤体积:1384.98cm3。红色为肉瘤部分。

在武威重离子中心接受重(碳)离子治疗,治疗前肿瘤净体积:1384.98 cm3,治疗5次肿瘤净体积缩小为:558.89cm3,肿瘤体积缩小了60%。

左图为重(碳)离子治疗前2024年11月5日,示肿瘤大小,约120mm。右图为重(碳)离子治疗结束时,见肿瘤已灭活,明显缩小,正在吸收消散中。
截至发稿日,重(碳)离子治疗后25个月患者体力状况良好,患者健康状况良好,生活自理。
五、毒副反应
重(碳)离子治疗因其精准性,总体毒副反应较轻,主要为1-2级的局部反应:
急性/亚急性反应:治疗区域皮肤红斑、干性/湿性脱屑;头颈部治疗时可出现黏膜炎。
慢性反应:可能包括治疗区域组织纤维化,发生率较低。
本组特殊病例:3例心脏肉瘤治疗中,未观察到心脏传导系统损伤等严重毒性。
六、讨论与总结
本研究通过对164例经重(碳)离子治疗的肉瘤患者进行分析,证实了以下关键点:
卓越的局部控制:重(碳)离子治疗对各类软组织肉瘤和骨肉瘤均高度有效,局部控制率接近100%,为无法手术或术后复发的患者提供了根治性局部治疗选择。
显著的生存获益:即使在本组以中晚期、难治性患者为主的情况下,仍获得了令人鼓舞的长期生存数据,尤其骨肉瘤4年生存率达88.89%。
广泛的应用范围:治疗涵盖了从常见到罕见、从四肢到心脏(全球首创)的几乎所有肉瘤亚型,突破了诸多治疗禁区。
良好的安全性:治疗耐受性良好,严重毒副反应发生率低,在有效抗癌的同时极大保障了患者生活质量。
展望
重(碳)离子治疗代表了肉瘤局部治疗的重要发展方向。武威重离子中心作为全球唯一同时运行两台重(碳)离子治疗系统的医疗机构,将继续积累“中国数据”,优化治疗方案,让这一“大国重器”惠及更多患者。当前治疗的主要挑战在于大部分医生和患者不了解重离子。经常以为重离子与质子一样,实际上重离子是质子疗效的2-5倍,且副作用更低,且没有任何肿瘤会抵抗重离子。随着技术普及和保障体系的完善,重(碳)离子治疗有望成为肉瘤综合治疗中不可或缺的核心手段之一。
撰稿人:陈雪莲、李鹏庆(肿瘤登记随访办)
审核:张雁山(甘肃省武威肿瘤医院副院长)
时间:2026年3月24日