脑胶质瘤碳离子治疗后随访30个月了
脑胶质瘤碳离子治疗后随访30个月了
脑胶质瘤病是人类难治性肿瘤之一,目前标准治疗方案是最大限度安全切除肿瘤,辅以替莫唑胺同步放化疗和辅助替莫唑胺治疗,接受标准术后光子放化疗患者的中位总生存期为14-17个月。
神经胶质瘤的体外细胞学研究显示,碳离子治疗的相对生物效应(relative biological effect,RBE)平均为2.10~3.44,因碳离子射线具有更高的RBE,其放射生物学优势可转化为临床疗效的提高。碳离子的物理剂量学效应优势在提高肿瘤控制率同时,减少周围组织大剂量辐射损伤减少脑损伤的发生,为胶质瘤放疗提供新的治疗策略。与常规光子相比,碳离子可以提高脑胶质瘤的控制率和远期生存率。日本NIRS光子放疗联合碳离子治疗脑胶质瘤病中位生存时间达26个月,我科治疗的脑胶质瘤患者长期随访结果已达到此水平,不乏与杨女士一样效果的病例。
病例一
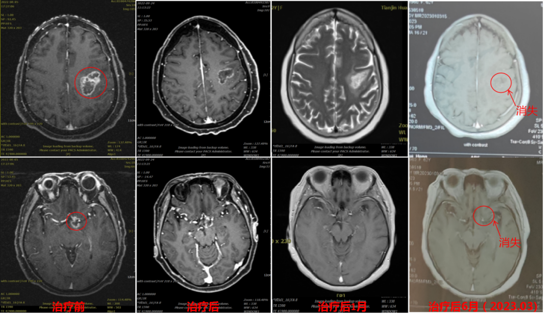
2019年,42岁的杨女士不幸被脑胶质瘤“击中”,犹如晴天霹雳一般,辗转多家医院后在天坛医院确诊为脑胶质瘤,因位置特殊,无法进行手术切除。得知这个消息后杨女士心情低落,寻求最佳治疗方法。2020年5月,杨女士多次出现癫痫,复查后得知肿瘤较前增大,脱水、抗癫痫治疗后症状仍不能缓解。不能做手术,肿瘤长在脑袋里面就像一个定时炸弹,杨女士和家人每天提心吊胆,多番上网查询相关资料,周围的亲戚朋友也在多方打听脑胶质瘤最先进的治疗办法,终于他们看见了有关武威重离子中心的报道,咨询后可以进行重离子治疗,这让杨女士瞬间燃起了生命的希望!2020年6月,杨女士毅然决然的来到我中心,在我中心多学科联合会诊后进行了20次碳离子治疗,治疗期间无任何不适,且未发生过癫痫,治疗结束后肢体无力症状完全缓解,病灶也较前明显缩小。杨女士非常高兴地将每次随访的资料邮寄我科,今天我们收到了治疗结束后30个月的随访资料,病灶已经完全消失,无任何不适,我们真替她感到高兴!
重离子治疗头颈及中枢系统肿瘤适应症:

以下是杨女士碳离子治疗近30个月的影像随访资料(图1,图2)

图1 碳离子治疗剂量图

图2
目前我中心已治疗头颈部肿瘤130例,中枢神经系统肿瘤30例。其中脑胶质瘤25例,包括颅内各个部位、解剖结构复杂、多病灶的胶质瘤病,给患者带来了生的希望。
病例二
85岁高龄,入院前出现左侧肢体麻木、无力,肢体活动障碍,反应迟缓、小便失禁。头颅核磁提示右侧额叶-胼胝体区胶质母细胞瘤。

图3 碳离子治疗期间的影像对比

图4
病例三
33岁,回族,入院3月前行脑胶质瘤手术,病灶大部分切除,但仍有残留,术后肢体无力未缓解,诊断为:(右侧额顶叶)胶质母细胞瘤 WHO IV级,治疗前左侧肢体肌力3级,治疗后左侧肢体肌力基本恢复。

图5 光子联合碳离子治疗剂量图

图6
病例四
中年女性,入院前出现渐进性言语不畅,MET-PET示:左侧额叶、左侧脑室旁、鞍上池多发MET及FDG异常高代谢灶,深圳当地医院取检后诊断为胶质母细胞瘤 WHO IV级,入院时言语不畅,定向力减退。治疗后言语不畅及定向力恢复(见图7)。

图7
武威重离子中心简介
武威医科院肿瘤医院重离子中心是中国首台重离子系统临床应用中心。自2020年3月正式投入临床应用以来,已成功运营3年。截至目前,我中心已完成治疗712人,针对人体头颅、胰腺、肺等部位疑难病灶,取得了良好的治疗效果,治疗患者来自全国各地。中心在成功运行三周年的基础上,打造全国首个肿瘤康养小镇,建成以肿瘤综合治疗、饮食管理治疗、心身健康管理、中医辨证治疗、康复理疗、生物免疫细胞治疗、田园治疗、文化治疗为特色的全方位、全生命周期健康管理体系。






放疗五科简介

放疗五科开展头颈部肿瘤、中枢神经系统肿瘤、淋巴肿瘤重离子光子放射治疗,是集临床、科研、教学为一体的专科病区。
主要收治病种:脑膜瘤、垂体瘤、听神经瘤、脑胶质瘤、颅内肿瘤、鼻咽癌、口腔癌、眼部肿瘤、喉癌、硬腭癌、下咽癌、脊索瘤、全身各部位淋巴瘤。
重离子优势病种:头颈部恶性黑色素瘤、头颈部肉瘤、腺样囊性癌、复发头颈部癌、颅底脊索瘤、软骨肉瘤、脑胶质瘤。