融合创新,“胃”来可期
融合创新,“胃”来可期
—我院胃外科率先成功自主完成腹腔镜近端胃切除术/GIRAFFE重建
迄今为止,食管胃结合部腺癌(adenocarcinoma of esophagogastric,AEG)的淋巴结清扫范围、手术入路选择、切除范围及消化道重建方式等问题一直是消化外科学术界争议的热点,而近端胃切除术后消化道重建方式更是热议的焦点。近年来,甘肃省武威肿瘤医院胃外科聂蓬主任手术团队也长期致力于近端胃切除术后合理消化道重建方式的探索,从食管胃前壁/后壁吻合±幽门成形术,到间置空肠吻合和双通道吻合,再到双肌瓣成形术(Kamikawa吻合),发现各种重建方式都有其优缺点,尚无一致认可的理想重建方式。

近日,我院胃外科聂蓬主任团队再次成功自主开展了近端胃切除术后一种新的重建方式,即GIRAFFE重建。该术式是由中国科学院大学附属肿瘤医院程向东教授团队提出,是基于间置管状胃及重建胃底和His角抗反流的理念而创建,具有并发症发生率低和良好抗返流的功效。此技术在开放或腹腔镜下均可开展,前提是要有各类消化道重建方式的长期经验积累。目前,该技术仅在研发单位开展且100例的实践经验取得了良好的疗效,国内其他单位及甘肃省内暂无相关报道,所以该重建方式在我中心的顺利完成及常规开展将为本地区胃癌患者提供另一个全新的选择,也标志着我院胃外科腹腔镜胃癌团队的手术诊治水平达到了一个新高度。



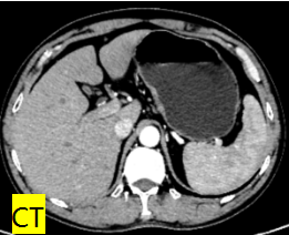
64岁王某,4月前在兰州某医院确诊为胃癌(cT2NxM0),因合并肺气肿、高血压3级、乙肝及脑出血病史,且长期口服抗凝药物,存在手术相对禁忌症,遂给予2周期SOX方案新辅助化疗,期间积极处理合并症。2周期化疗后行胃镜检查提示:贲门病变性质待查(化疗后改变)。病检提示:(贲门)高分化腺癌。CT检查提示:贲门小弯侧胃壁局部略增厚,浆膜面光整。该患者经术前新辅助治疗后病情进一步缓解,且病灶局限,无淋巴结及远处转移,治疗以手术首选,但考虑到患者年龄较大,合并症较多,在保证肿瘤R0切除的前提下为降低围手术期并发症,经与家属充分沟通各类术式的近远期疗效及并发症后最终决定行近端胃切除术。然而考虑到目前近端胃切除后不论是间质空肠、双通道吻合还是胃食管直接吻合,术后反流性食管炎等相关并发症发生率均较高,而Kamikawa吻合可减少反流性食管炎的发生率,并降低了吻合口瘘的风险,但是操作相对复杂,手术时间长,考虑到该患者基础疾病较多,可能不能耐受较长的手术时间。研究报道GIRAFFE重建操作相对简单,手术时间短且有很好的抗返流效果,消化病院区胃外科腹腔镜胃癌团队在聂蓬主任的带领下紧跟胃癌诊疗国际前沿,深入学习探讨,积极临床实践,在做好充分的术前准备的基础上,成功为该患者开展了腹腔镜下近端胃切除后食管胃GIRAFFE重建,手术效果良好。
聂蓬主任介绍,GIRAFFE重建具备以下特点:1.维持了正常生理通道,便于术后残胃及十二指肠的内镜检查;2.保留了远端胃,既可以用来储存食物,也因远端胃明显的收缩活动产生的机械碾磨,将食物颗粒与胃液搅拌混合,最后把食糜推进到十二指肠;3.保留部分位于胃体中部大弯侧距贲门5~7 cm的区域胃电起搏点,维持良好的术后胃排空能力;4.具有很好的抗返流效果,GIRAFFE重建首先通过重建胃底,阻挡一部分反流的残胃内容物,残胃内容物涌入人工胃底后造成局部压力增加,进而通过重建的His角对管状胃远端形成压迫,减少进入管状胃的残胃内容物,间置于食管及残胃之间的管状胃发挥抗反流缓冲带作用,缓冲冲向食管的胃内容物;5.游离的管状胃亦可充分解决吻合口的张力问题。所以,该重建方式操作简单,安全可行,效果好。

目前,GIRAFFE重建适用于能行近端胃切除手术的临床分期为 cT1~3N0M0的上1/3胃体癌及SiemertII/III型AEG患者。近期研究显示该术式具有操作简便、适应症广、吻合无张力、确切的抗反流机制等优点,能大大推动胃上部癌或胃食管结合部肿瘤手术方式的进一步革新,给患者带来更大的收益。
专家风采

聂蓬
主任医师
外科学硕士,2001年毕业于兰州大学医学院,获学士学位;2010年毕业于青海大学医学院,获硕士学位。武威医学科学院肿瘤医院肿瘤外科主任医师、院长助理、消化病院区党支部书记、大外科主任、胃外科主任;甘肃省抗癌协会胃癌专业委员会副主任委员、甘肃省老年医学会胃癌专业委员会常务委员、武威市医学会全科医学专业委员会主任委员、武威市医学会肿瘤学专业委员会副主任委员。
从事外科工作20余年,先后在北京大学肿瘤医院、上海复旦大学附属中山医院、广州医科大学附属肿瘤医院、天津医科大学附属肿瘤医院、第四军医大学西京医院、兰州军区兰州总医院进修学习,后经不断刻苦钻研、融会贯通在消化道疾病诊治方面有着高超水平,尤其擅长胃部疾病的诊疗和各种胃部疾病的微创外科手术治疗。
近年来,先后参与完成国家自然科研项目1项、主持完成省卫健委科研项目1项,武威市科研项目5项,主持在研省自然基金项目1项,发表学术论文10余篇,其中国家级核心期刊9篇。
擅长各种胃部疾病的综合治疗及微创外科手术治疗。累计主刀完成各类外科手术3000余台,其中胃癌根治手术达2000余例。
执业范围:胃外科、肿瘤外科
坐诊地址:消化病院区门诊201室
坐诊时间:每周一、三、五全天
挂号方式:官网预约挂号或现场门诊挂号
联系方式:0935-6988091